Cas Clinique. Case Report Le phéochromocytome de l’enfant, à propos d’un cas révélé par une hypertension artérielle sévère.
Pheochromocytoma in children. A case report revealed by a severe hypertension.
H.BAKO¹, M.N.D..SIDDO¹, A.SEIBOU ², H.HAROUNA¹, I.TAHIROU¹, M. ZAKI³, A.GADO¹, O.HANKORAOU¹, A.I. TOURE4.
RESUME
Nous rapportons un cas de phéochromocytome chez un enfant âgé de 8 ans, suivi depuis un an, en ambulatoire pour hypertension artérielle sévère. Le diagnostic a été orienté par les signes cliniques. Le scanner abdominal avait mis en évidence une masse surrénalienne gauche. Le diagnostic phéochromocytome est posé par le dosage des VMA urinaires et confirmé par l’examen anatomopathologique de la pièce opératoire. L’évolution a été favorable après exérèse de la tumeur avec normalisation des chiffres tensionnels.
MOTS CLES
Phéochromocytome, hypertension artérielle, enfant.
RESUME
We report a case of a pheochromocytoma 8 years child, followed since one year in outpatient for severe hypertension. The diagnosis was guided by clinical data. The abdominal CT scan had revealed a left pararenal mass. Pheochromocytoma diagnosis is made by measurement of urinary VMA and confirmed by histological examination of the surgical specimen. The outcome was favorable after resection of the tumor with normalization of blood pressure.
KEY WORDS
Pheochromocytoma, hypertension, child.
|
1-Pôle de cardiologie de l’Hôpital National de Niamey 2-Service de chirurgie générale de l’Hôpital National de Niamey 3-Service d’anatomo-pathologie de l’Hôpital Lamordé de Niamey 4-Service de cardiologie de l’Hôpital Lamordé de Niamey |
Adresse pour correspondance : DODDO SIDDO M. N., Cardiologue au pôle de cardiologie Hôpital National de Niamey BP : 238 Niamey, Niger. Email : Cette adresse e-mail est protégée contre les robots spammeurs. Vous devez activer le JavaScript pour la visualiser. |
INTRODUCTION
Le phéochromocytome est une tumeur qui se développe aux dépens des cellules chromaffines, le plus souvent médulosurrénaliennes, produisant un excès de catécholamines [1,2] dont la principale manifestation clinique est l’hypertension artérielle. L’incidence annuelle de ces tumeurs rares est de 1 à 4 par million d’habitants [3]. Parmi toutes les causes d’hypertension artérielle, le phéochromocytome est fréquemment évoqué ou recherché mais exceptionnellement diagnostiqué [3,4].Chez l’enfant, l’incidence du phéochromocytome est de 0,0002 %, ce qui correspond approximativement à 20 % des cas [3]. Il atteint surtout les garçons dont l’âge moyen au moment de la découverte est de 10 ans [1,5-8].
Nous vous rapportons un cas de phéochromocytome révélé principalement par une HTA permanente et sévère chez un garçon de 8 ans.
OBSERVATION
L’enfant BA, âgé de 8 ans, sans antécédent pathologique connu, est suivi depuis un an en ambulatoire pour une HTA sévère. L’interrogatoire de sa mère rapportait la notion de sueur nocturne mouillant les draps malgré la climatisation, la survenue de céphalées violentes surtout frontales génératrices d'insomnie et de plaintes incessantes.
L’examen clinique, à l’admission dans le service de cardiologie notait une pression artérielle à 180/85 mm Hg, une température à 36°5 C, une fréquence cardiaque à 112 battements par minute et un indice de mase corporel à 19,5 kg/m2 (taille à 1,05 m et poids à 20 kg). L’examen physique était sans particularité en dehors d’une sensibilité de l’hypochondre gauche. Le bilan biologique comportant l’hémogramme, la glycémie, l’urée, la créatininémie, la recherche de protéinurie était normal.
Le fond d'œil a mis en évidence une rétinopathie hypertensive stade III selon la classification de Kirkendall (œdème papillaire, nombreux exsudats cotonneux).
Le scanner abdominal (figure 1) a montré une masse ovalaire bien limitée de 48 mm sur 36 mm enjambant le bras latéral de la surrénale gauche.
Devant ce tableau clinique et para clinique le diagnostic du phéochromocytome a été suspecté indiquant le dosage de l’acide vanyl mandélique (VMA) urinaires qui est revenu élevée à 27,18 µmol/l pour une normale inférieure à 10 µmol/l. Le diagnostic de phéochromocytome est retenu et l’enfant était alors mis sous antihypertenseurs à base de d’alpha-bloquant associé à un bétabloquant. L’enquête familiale ne rapporte pas de cas familial.
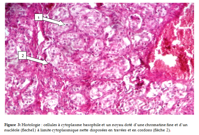
L’évolution sous traitement médical en attendant l’exérèse de la tumeur est favorable avec diminution significative des chiffres tensionnels. L’enfant a été opéré par laparotomie avec exérèse complète de la tumeur (figure 2). L’examen anatomopathologique de la pièce opératoire (figure 3) a confirmé le diagnostic de phéochromocytome en montrant une formation ovoïde faite de cellules à cytoplasme basophile et un noyau doté d’une chromatine fine et d’un nucléole à limite cytoplasmique nette disposés en travées et en cordons.
Les suites post-opératoires ont été simples. L'évolution a été favorable avec disparition des symptômes et normalisation de la pression artérielle après l’arrêt des antihypertenseurs.
Le patient est asymptomatique après un recul de 6 mois avec des chiffres tensionnels normaux.
DISCUSSION
La symptomatologie du phéochromocytome est polymorphe et causée principalement par la production excessive de catécholamines [1,5-7,9-11]. Plusieurs manifestations cliniques ont été décrites, mais aucune d’entre elles n’est spécifique [1, 5, 6, 8, 9, 11]. L’hypertension artérielle est presque toujours présente, mais le phéochromocytome est une étiologie très rare des hypertensions artérielles de l’enfant représentant 1 à 2% [1, 5, 6, 7, 10, 11, 12]. Chez l’enfant, la symptomatologie est plus souvent atypique [1, 5, 7]. Ces manifestations surviennent en présence d’une tumeur sécrétant principalement de l’épinéphrine et de la dopamine et peuvent consister en un arrêt de la croissance accompagné d’amaigrissement, une asthénie avec une altération de l’état général, des troubles de la glycorégulation, des troubles neurologiques avec anxiété et des troubles visuels [1,5-7,9-11].
Le diagnostic de phéochromocytome par le biais de l’exploration d’une cause à l’hypertension artérielle sous-estime la fréquence de ces tumeurs puisque 70% d’entre elles seulement sont compliquées d’HTA [9].
Orienté par les signes cliniques d’appel, le diagnostic repose sur la mise en évidence d’une production excessive de catécholamines [1, 5, 6-8,10-12, 14]. L’examen clinique notamment la triade symptomatique céphalées, sueurs, palpitations associé au dosage des métanéphrines plasmatiques et/ou urinaires permettent de poser le diagnostic. Les VMA, qui ont été dosés chez notre patient, en l’absence de disponibilité des métanéphrines et normétanéphrines urinaires, sont moins spécifiques.
Le diagnostic de localisation d’un phéochromocytome repose sur le TDM avec injection d’iode ou l’IRM thoraco-abdominopelvienne et du cou.
Dans notre cas, nous avons été orienté par les signes cliniques d’appel notamment une hypertension artérielle s’accompagnant de transpirations excessives nocturne, tachycardie, de céphalées, Le scanner abdominal devant les signes cliniques évocateurs, a permis de mettre en évidence la masse tumorale. Comme il est rapporté dans la littérature [1,5-7,11], l’exérèse de la tumeur a permis de guérir notre patient avec arrêt du traitement antihypertenseur.
CONCLUSION
La découverte d’une hypertension artérielle chez l’enfant doit conduire systématiquement à la recherche d’un phéochromocytome. Le caractère souvent familial des phéochromocytomes de l’enfant doit inciter à explorer les autres membres de la famille
Sa prise en charge est médico-chirurgicale et multidisciplinaire impliquant le cardiologue, l’endocrinologue, le chirurgien viscéral, l’anesthésiste et l’anatomopathologiste.
La cure radicale relève d'une chirurgie délicate habituellement précédée d'une préparation médicale reposant surtout sur un traitement symptomatique inhibant les effets des catécholamines.
Anomalies électrocardiographiques de l’enfant drépanocytaire homozygote à Brazzaville (Congo).
Electrocardiographic abnormalities in children with sickle cell disease
in Brazzaville (Congo).
B.F. ELLENGA-MBOLLA 1, A.R. OKOKO 1,2, G. EKOUYA-BOWASSA 1,2, I. KOCKO 3, A. OKO 1,2, MOYEN ENGOBA1,2,
T.R. GOMBET 1, S.G. KIMBALLY-KAKY 1, G.M. MOYEN 1,2
RESUME
Afin de déterminer les anomalies ECG de l’enfant drépanocytaire, les auteurs ont réalisé une étude comparative de type cas-témoins à Brazzaville (Congo). Les cas (groupe 1) était constitué d’enfants drépanocytaires (n=64 ; 34 filles et 30 garçons) et les témoins (groupe 2) d’enfants non drépanocytaires (n=40 ; 20 filles et 20 garçons). Les variables d’étude se résumaient aux données anthropométriques, aux complications hématologiques et aux modifications des aspects électrocardiographiques.
Le sex-ratio était de 1. L’âge variait de 3 à 16 ans, avec une moyenne de 9,2±3,6 ans. Le taux d’hémoglobine (p<0,001), l’IMC (p<0,0001) et l’insuffisance de la taille pour l’âge (p=0,003) étaient plus bas dans le groupe 1. Un ECG pathologique était plus fréquent chez les drépanocytaires (n=32 ; 48,4%) que chez les témoins (p<0,001). L’ECG pathologique était plus rencontré chez les enfants ayant un IMC plus bas (15,9±2,7 ; p=0,01). Par ailleurs, les drépanocytaires fréquemment hospitalisés (p=0,003), présentant des crises vaso-occlusives récurrentes (p<0,001), des transfusions fréquentes (p=0,01) ou une anémie (p=0,003) se caractérisaient le plus souvent par un ECG pathologique.
Les anomalies ECG les plus fréquentes de l’enfant et l’adolescent drépanocytaire étaient le QTc allongé (p<0,0001) et l’hypertrophie ventriculaire droite (p=0,04) par rapport aux témoins. Le QTc allongé était plus fréquent chez les enfants drépanocytaires ayant présenté des crises douloureuses fréquentes (p=0,01).
MOTS CLES
Anomalies ECG, QTc long, enfants, drépanocytose SS,
SUMMARY
To determine the EKG abnormalities in children with sickle cell disease (SCD), the authors conducted a case-control study in Brazzaville (Congo). The cases (group 1) was children with SCD (n = 64 ;34 girls and 30 boys) and the controls (group 2) was the children without SCD (n = 40 ; 20 girls and 20 boys). The study variables were anthropometric data, haematologic complications and EKG abnormalities.
The sex ratio was 1. The mean age was 9.2 ± 3.6 years. Hemoglobin (p <0.001), BMI (p <0.0001) and deficiency of height for age (p = 0.003) were lower in group 1. The EKG was pathological more common in SCD (n = 32 ; 48.4%) than controls (p <0.001). The pathological EKG was encountered in children with a lower BMI (15.9 ± 2.7, p = 0.01). In addition, frequently hospitalized for SCD (p = 0.003), showing recurrent vaso-occlusive crisis (p <0.001), frequent transfusions (p = 0.01) or anemia (p = 0.003) were characterized most often by pathological EKG.
EKG abnormalities in children and adolescents with SCD were long QTc (p <0.0001) and right ventricular hypertrophy (p = 0.04) compared to controls. The long QTc was more frequent in children with SCD who presented frequent painful crises (p = 0.01).
KEY WORDS
EKG abnormalities, long QTc, children, sickle cell disease, Brazzaville
|
1.Département de médecine, Faculté des Sciences de la Santé, Université Marien Ngouabi de Brazzaville, République du Congo. 2.Service de pédiatrie, Centre Hospitalier et Universitaire de Brazzaville. 3.Service d’hématologie clinique, Centre Hospitalier et Universitaire de Brazzaville. |
Adresse pour correspondance ELLENGA MBOLLA B. F. BP 13400 Brazzaville -République du Congo Téléphone : (242)055387316 |
INTRODUCTION
La drépanocytose est une maladie génétique hématologique retrouvée en Afrique, au Maghreb, au Moyen Orient, en Asie, dans les Antilles et en Amérique. La prévalence de la forme homozygote SS est élevée en Afrique Centrale où la maladie constitue un problème de santé publique [1]. A Brazzaville, sa prévalence est de 4% chez les enfants, et 28% des hospitalisations pédiatriques au Centre Hospitalier et Universitaire de Brazzaville (CHUB) y sont rattachées [2].
La prise en charge de la drépanocytose a bénéficié de nombreuses avancées thérapeutiques (greffe de moelle osseuse, thérapie génique), souvent inaccessibles pour les pays pauvres [1]. Le suivi régulier de la maladie est souvent contraignant en particulier pour les enfants du fait de la chronicité de cette affection. Le cout élevé de la prise en charge amène les parents à consulter le plus souvent à l’occasion d’une complication de la maladie. Les explorations sont alors souvent réalisées à cet effet. Ainsi, les complications cardiaques, souvent tardives, ne sont découvertes que chez les patients symptomatiques [3, 4]. Cependant, les anomalies cardiaques sont très fréquentes chez les enfants asymptomatiques du fait de l’anémie chronique [5]. C’est dans ce contexte que Lumbala et al, dans une étude réalisée en république démocratique du Congo, se sont intéressés à évaluer la fonction cardiaque de l’enfant drépanocytaire homozygote en déterminant l’index de performance myocardique et sa relation avec la morphologie cardiaque [6].
Cependant dans notre milieu, les manifestations cardiaques de la drépanocytose sont souvent révélées par les anomalies électrocardiographiques. En effet, l’électrocardiogramme (ECG) constitue un examen d’exploration cardiaque en routine, généralement accessible et de réalisation facile. De ce fait, en pratique courante, il permet de déceler certaines anomalies chez les patients asymptomatiques [7].
Le but de ce travail est de déterminer les anomalies ECG de l’enfant drépanocytaire homozygote asymptomatique en comparaison avec les enfants non drépanocytaires.
PATIENTS ET METHODE
Il s’agit d’une étude transversale de type cas-témoins, réalisée de février à Juin 2010 (5 mois) à Brazzaville. Les cas étaient constitués d’enfants drépanocytaires SS asymptomatiques, vus à distance (6 mois) d’une complication aigue de la maladie, et suivis en ambulatoire au CHUB (groupe 1). Les témoins comprenaient les enfants non drépanocytaires (Hb AA), recrutés dans une structure scolaire de Brazzaville lors d’un bilan systématique (groupe 2). Ces enfants ne présentaient pas d’affection aigue au moment de l’enquête. Les auteurs ont obtenu le consentement écrit des parents pour la réalisation de l’étude en suivant les recommandations d’Helsinki de 1975, révisées en 1989 [8]. Les enfants sous traitement pour une pathologie ou une complication intercurrente, hospitalisés pour une insuffisance cardiaque, symptomatiques, ayant un souffle cardiaque d’allure organique, présentant une anémie clinique mal toléré ou un syndrome inflammatoire biologique étaient exclus de l’étude.
Le groupe 1 était composé de 64 enfants drépanocytaires SS (30 filles et 34 garçons), et le groupe 2 de 40 enfants non drépanocytaires (20 filles et 20 garçons). Les deux groupes étaient appariés selon l’âge dans les deux sexes. L’âge moyen était de 9,2±3,6 ans (extrêmes : 3-16 ans), dont 9,4±4 ans dans le groupe 1 et 9±3 ans dans le groupe 2. Le sex-ratio était de 1,1.
Après l’examen clinique des enfants, un bilan minimum incluant une vitesse de sédimentation sanguine, un hémogramme et un ECG (avec 12 dérivations standard) étaient réalisés aux enfants.
La masse corporelle (en kg) et le poids (en m) des enfants ont été mesurés à l’aide d’un appareil GIMA©. L’ECG a été obtenu à partir d’un électrocardiographe de marque SCHILLER AT1©, et l’hémogramme avec un automate HORIBA ABX DX120©.
Variables étudiées
Il s’agissait des crises douloureuses, rapportées en fréquentes (F) versus non fréquentes (NF) ; des hospitalisations antérieures rapportées en fréquentes (F) versus non fréquentes (NF) ; des transfusions antérieures rapportées en fréquentes (F) versus non fréquentes (NF) et de l’anémie. Toutes ces variables étant rapportées à l’aspect de l’ECG (anormal versus normal).
Définitions opérationnelles
L’indice de masse corporelle (IMC) était calculé selon la formule de Quetelet. L’insuffisance du poids pour l’âge (IP/A) était définie par un poids pour l’âge inférieur à -2 Z score de l’OMS et l’insuffisance de la taille pour l’âge (IT/A) par une taille pour l’âge inférieur à -2 Z score de l’OMS. L’insuffisance pondérale (IP) était retenue devant un IMC inférieur à -2 du Z score de l’OMS, la notion d’hospitalisations fréquentes (HF) devant au moins trois hospitalisations au cours des deux dernières années, et la notion de transfusion fréquente (TF) devant au moins trois transfusions au cours des deux dernières années. La notion de crise douloureuse fréquente (CDF) était définie par la présence d’au moins trois crises douloureuses drépanocytaires au cours des deux dernières années, à domicile ou non. L’état d’anémie était désigné devant un taux d’hémoglobine inférieur de deux unités par rapport à la référence pour l’âge. L’hypertrophie ventriculaire gauche (HVG) était définie par un indice de Sokolow-Lyon >45 mm. Les critères d’une hypertrophie ventriculaire droite (HVD) ont été un rapport R/S>1 en V1 avec déviation axiale droite. La surcharge ventriculaire droite était retenue devant un sous décalage de ST avec onde T négative en précordiales droites avec ou sans hypertrophie ventriculaire, les ondes Q septales anormales pour une amplitude de l’onde Q en V5 et/ou V6 ³ 0,30 mV et une durée £ 29 ms. Le QT corrigé (QTc), calculé par la formule de Bazett (QT mesuré /√RR), était considéré allongé s’il était >440 ms chez l’enfant et >425 ms chez l’adolescent [9].
Analyse statistique
Les données ont été saisies et analysées avec le logiciel Epi Info 3.3.2. Les variables qualitatives ont été exprimées en effectifs et en pourcentages, les variables quantitatives en moyenne ± écart type. Le test du Khi carré de Pearson a été utilisé pour les comparaisons des variables qualitatives, et le test t de Student pour la comparaison de deux variables quantitatives. Une analyse de régression logistique a permis de calculer les odds ratio (OR) ajustés à l’insuffisance pondérale. Le seuil de signification statistique des tests était de 5%.
RESULTATS
Caractéristiques épidémiologiques
Dans le groupe 1, les antécédents cliniques étaient représentés par 43 cas (67,2%) de CDF, 42 cas (65,6%) d’HF et 33 cas (51,5%) de TF. Par ailleurs, l’anémie a été notée dans 53 cas (82,8%). L’IMC moyen se chiffrait à 16,9±3,0 dont 15,3±2,2 pour le groupe 1 et 19,3±2,5 pour le groupe 2 (p<0,0001. L’insuffisance pondérale (IP) était retrouvée dans 22 cas (21,2%) dont 17 (26,6%) dans le groupe 1 et 5 (12,5%) dans le groupe 2 (p=0,08), alors que celle du poids pour l’âge (IP/A) était notée dans 32 cas (30,8%), dont 21 (32,8%) dans le groupe 1 et 11 (27,5%) dans le groupe 2 (p=0,56). Quant à l’insuffisance de la taille pour l’âge (IP/A), elle était constaté dans 33 cas (31,7%), dont 27 (42,2%) dans le groupe 1 et 6 (15%) dans le groupe 2 (p=0,003). Le taux moyen d’hémoglobine était évalué à 8,0±1,4 g/dl dans le groupe 1 contre 14,9±1,0 g/dl dans le groupe 2 (p<0,001).
Paramètres ECG
La fréquence cardiaque moyenne était de 95,1±16,0 battements par minute (bpm) dans le groupe 1 et 94,8±8,9 bpm dans le groupe 2 (p=0,88). La durée de PR se chiffrait à 149,2±21 millisecondes (ms) dans le groupe 1 versus 191,9±26,8 ms dans le groupe 2 (p<0,0001), celle du QRS de 73,9±13,4 ms dans le groupe 1 contre 81,1±11 ms dans le groupe 2 (p=0,007). L’axe de QRS moyen était de 49,4±25 degrés dans le groupe 1 versus 68,4±19,6 ms dans le groupe 2 (p<0,0001), et le QTc de 419,3±39 ms dans le groupe 1 versus 397,2±16,8 ms dans le groupe 2 (p=0,001).
Anomalies ECG
Un ECG anormal a été noté dans 31 cas (48,4%) dans le groupe 1 contre 6 cas (15%) dans le groupe 2 (p<0,001). Le tableau I rapporte les différentes anomalies ECG dans les 2 groupes. L’analyse des déterminants de l’ECG anormal dans le groupe 1 est rapportée dans le tableau II. L’analyse des déterminants du QTc allongé dans le groupe d’enfants drépanocytaires est indiquée dans le tableau 3.
DISCUSSION
La drépanocytose SS est une maladie dont les atteintes cardiaques sont souvent tardives. En effet, en raison de l’anémie et des embolies à répétition, les cardiopathies ne se révèlent souvent que dans l’adolescence ou à l’âge adulte [7,10]. Lorsqu’elles surviennent dans l’enfance, les étiologies ne sont pas différentes de celles des enfants non drépanocytaires [2]. Il existe à Brazzaville, des unités de prise en charge d’enfants drépanocytaires, et pourtant les parents ne les consultent la plupart du temps que lorsque les enfants sont malades. Devant ce contexte, il est difficile de déceler les patients prédisposés à développer certaines pathologies.
L’ECG est un examen paraclinique anodin, accessible pour les familles. Quoique sa réalisation ne soit pas toujours systématique, elle rentre toutefois dans l’exploration d’enfants drépanocytaires présentant des problèmes cardiologiques patents. Certaines anomalies potentiellement fatales (bloc auriculo-ventriculaire complet, QTc long) peuvent également être décelées à l’ECG [7,9], aggravées par une insuffisance pondérale.
Dans notre série, l’allongement du QTc est fréquent (p<0,001) dans le groupe d’enfants drépanocytaires (n=26 ; 46%). Hankins [11], dans son étude, révèle un taux de 20% de QTc chez les enfants drépanocytaires, transfusés chroniques et insuffisants pondéraux. Cette anomalie est souvent transitoire lorsqu’elle est acquise ou secondaire [12]. En dehors de ces causes secondaires qui sont multiples, le QTc allongé peut être congénitale et prédispose alors au risque de syncope, à des troubles du rythme cardiaque graves et de mort subite [9]. Des facteurs analysés, la survenue des crises douloureuses fréquentes dans l’année est le seul paramètre lié à un long QTc. Une étude analytique échographique a mis en évidence corrélation positive entre un long QTc et la présence d’une hypertension artérielle pulmonaire, d’une anémie aiguë et des douleurs thoraciques aiguës [13]. En effet, les crises douloureuses drépanocytaires sont occasionnées par des ischémies rattachées à de microembolies. Celles-ci aboutissent à terme à une hypertension artérielle pulmonaire [7]. Bien que ce fait soit établi, une étude échographique est à souhaiter dans notre milieu pour objectiver cette assertion.
L’ECG peut aussi révéler une complication communément observée chez le drépanocytaire adulte, à savoir [7,10]. Cependant, plusieurs études échographiques soulignent l’existence d’une HVG et une altération de la fonction ventriculaire gauche [5, 14, 15]. Les enfants et adolescents drépanocytaires présentant une HVG devraient avoir des explorations cardiologiques plus détaillées, afin d’en détecter la cause. En effet, le risque de mort subite est certain si la cardiopathie est méconnue [16]. Pour Kane [4], la présence de l’HVG chez les enfants drépanocytaires serait liée à l’hyperdébit dû à l’anémie, mais aussi à l’infarctus du myocarde qui n’est pas rare sur ce terrain. L’anémie chronique concoure également à la diminution des performances cardiaques [14, 15].
Les ondes Q septales ont été retrouvées uniquement chez les enfants drépanocytaires dans notre série (n=4 ; 6,2%). Leur présence est bien corrélée à une augmentation de la masse ventriculaire gauche objectivée surtout à l’échocardiographie [11, 17].
La surcharge ventriculaire droite et la tachycardie étaient les anomalies les plus fréquentes dans les deux groupes, sans différente significative. En effet, ces anomalies, couramment rencontrées dans l’enfance et l’adolescence et considérées normales, sont sans conséquence particulière. Leur incidence baisse au fur et à mesure que l’âge augmente.
Chez le patient DSS, après plusieurs crises vaso-occlusives ou d’anémie chronique, les micro-embolies à répétition peuvent entrainer des signes d’HVD et être fatales [18]. Dans notre série, le taux d’HVD d’enfants drépanocytaires était plus élevé que chez les témoins (p=0,04). Hankins [11] avait noté un taux plus bas d’HVD (3%).
Les signes d’HVD peuvent être témoin d’un cœur pulmonaire chronique, mais ceci est souvent évident chez le drépanocytaire adulte [4]. D’ailleurs, selon Dham [19], la dysfonction ventriculaire droite peut être autonome.
CONCLUSION
Les anomalies ECG sont fréquentes chez l’enfant et l’adolescent drépanocytaire à Brazzaville. Compte tenu du risque cardio-vasculaire élevé que présentent ces patients, la réalisation d’un ECG de routine de manière périodique peut alors être préconisée chez les enfants souvent transfusés et présentant des crises vaso-occlusives chroniques. Cela permettra de détecter des anomalies potentiellement graves et leur prise en charge.
Tableau 1
Comparaison des anomalies ECG du groupe 1 et du groupe 2.
Les variables sont exprimées en nombres et en pourcentage entre parenthèses.
|
|
Groupe 1 |
Groupe 2 |
Total |
Valeur de p
|
|
Surcharge VD |
49 (76,6%) |
25 (62,5%) |
74 (71,1%) |
0,12 |
|
Tachycardie |
24 (37,5%) |
13 (32,5%) |
37 (35,5%) |
0,6 |
|
QTc allongé |
26 (40,6%) |
1 (2,5%) |
27 (26%) |
<0,0001* |
|
HVD |
23 (35,9%) |
7 (17,5%) |
30 (28,8%) |
0,04* |
|
TNSR |
9 (14,1%) |
8 (20%) |
17 (16,3%) |
0,42 |
|
HVG |
5 (7,8%) |
- |
5 (4,8%) |
0,17 |
|
Ondes Q septales |
4 (6,2%) |
- |
4 (3,8%) |
0,27 |
|
PR allongé |
2 (3,1%) |
2 (5%) |
4 (3,8%) |
0,96 |
|
BBD complet |
2 (3,1%) |
- |
2 (1,9%) |
0,98 |
HVD (hypertrophie ventriculaire gauche), TNSR (troubles non spécifiques de la repolarisation), HVG (hypertrophie ventriculaire gauche), BBD (bloc de branche droit).
* Différence statistiquement significative
Tableau 2
Analyse bivariée entre l’ECG normal et l’ECG anormal
avec les crises douloureuses fréquentes (CDF), les hospitalisations fréquentes (HF), les transfusions fréquentes (TF) et l’anémie dans le groupe d’enfants drépanocytaires
|
|
ECG anomal |
ECG normal |
OR (IC95%) |
Valeur de p
|
|
CDF (n=43) |
24 (55,8%) |
19 (44,2%) |
4,6 (1,9-11) |
<0,001* |
|
HF (n=42) |
22 (52,4%) |
20 (47,6%) |
3,4 (1,4-7,9) |
0,003* |
|
TF (n=33) |
17 (51,5%) |
16 (48,5%) |
2,7 (1,1-6,3) |
0,01* |
|
Anémies (n=53) |
26 (49,1%) |
27 (50,9%) |
3,5 (1,4-8,2) |
0,003* |
* Différence statistique significative
Tableau 3
analyse bivariée entre le QTc allongé et le QTc normal dans le groupe d’enfants drépanocytaires par rapport aux hospitalisations fréquentes (HF), aux transfusions fréquentes (TF), aux crises douloureuses fréquentes (CDF), au taux moyen d’hémoglobine, à la fréquence cardiaque moyenne, et à l’ECG pathologique.
|
|
QTc allongé (n=26) |
QTc normal (n=38) |
OR(IC 95%) |
OR* |
|
HF |
18 (69,2%) |
24 (63,2%) |
1,3 (0,4-3,8) |
1,1(0,2-3,2) |
|
TF |
15 (57,7%) |
18 (47,4%) |
1,5 (0,5-4,1) |
1,3(0,2-3,8) |
|
CDF |
22 (84,6%) |
21 (55,3%) |
4,4 (1,3-15,4) |
3,8(1,0-11) |
|
Taux d’hémoglobine |
7,8±1,2 |
8,1±1,5 |
- |
- |
|
Fréquence cardiaque |
95,9±16,6 |
94,6±15,8 |
- |
- |
|
ECG pathologique |
25 (96,2) |
34 (89,5) |
2,9 (0,3-27,9) |
2,1(0,1-22) |
*Odds ratio ajusté à l’insuffisance pondérale
** Différence statistiquement significative
Prévalence de l’hypertension artérielle en consultation externe au service de cardiologie à l’Hôpital Universitaire du Centre de Libreville (Gabon).
Prevalence of hypertension in the outpatient consultation of the cardiology service
of the University Teaching Hospital of Libreville (Gabon).
J.B.MIPINDA 2, R. MAKANDJA.1 , E. ECKE 1 , G. MOUKOUMBI LIPENGUET2, A.P. KOUMAMBA2,
M. MAYOMBO IDIATA 2, C. MBA 2
RESUME
Il existe très peu de données sur la prévalence de l’hypertension artérielle (HTA) dans les pays au Sud du Sahara dont le Gabon.
Il s’agit d’une étude rétrospective comportant 1210 patients dans la tranche d’âge comprise entre 17 et 87 ans, colligés en consultation externe de cardiologie, dans la période allant de décembre 2010 à juin 2011. Le diagnostic de l’hypertension artérielle était retenu sur la base de la pression artérielle systolique supérieure à 140 mm Hg et/ou la pression artérielle diastolique supérieure à 90 mm Hg. Sur notre échantillon, le nombre de femme était de 664 (54,9%) tandis que le nombre d’homme était 546 (45,1%). La moyenne d’âge était de 42 ans (ET±13), avec un âge médian de 41ans. 274 hypertendus ont été diagnostiqués, d’où la prévalence de 22,64%. Nous notons une prédominance masculine, avec 51,8% et un sex-ratio de 0,92. La tranche d’âge la plus affectée était celle de [50-60] (32,10%), dans laquelle la proportion des hommes était de 26,8% contre 37,9% pour les femmes. Le facteur de risque cardiovasculaire le plus associé étais l’obésité avec un Rapport de Côte = 2,1 et d’une valeur p=0,00.
Conclusion - La prévalence de l’HTA est en croissance dans les zones urbaines africaines. La plupart des patients s’ignorent hypertendus. L’obésité apparait être l’autre facteur de risque cardio-vasculaire associé à cette affection. Il s’impose donc une nécessité du dépistage systématique pour prévenir les complications.
MOTS CLE
Hypertension artérielle (HTA), prévalence, consultation externe, Gabon.
SUMMARY
There is few data talking about the prevalence of hypertension in sub-Saharan African countries like Gabon.
This is a retrospective study which includes 1210 patients between 17 and 87 years old. All the subjects have been seen in ambulatory during the period going from December 2010 to June 2011. The patients were classified as hypertensive if they had a systolic (and/or diastolic) BP of 140 (90) mmHg or higher. 664 women (54.9%) and 546 men (45.1%) were collected. The sex ratio was 0.92. The mean of age was 42 years old (SD±13) with a median age of 41 years old. 274 hypertensive patients were diagnosed. The prevalence of hypertension was 22.64 %. The age group between 50 and 60 years old were more affected (32.10 %) with 26.8 % of men and 37.9 % of women. The most associated cardiovascular risk factor was obesity with an odds ratio of 2.1 and a p value of 0.00.
Conclusion – The prevalence of hypertension is increasing in urban areas of Africa. The diagnosis is unknown in the majority of patients. Obesity appears as a cardiovascular risk factor associated with high blood pressure. We recommend making more efforts to detect that disease before complications.
KEY WORDS
Hypertension, prevalence, Gabon, ambulatory.
|
1. Service de cardiologie du Centre Hospitalier de Libreville 2. Centre des Maladies du Cœur d’Owendo 3. Cellule d’Observation de la santé publique/Min.Santé |
Adresse pour correspondance :
MIPINDA J. B. Médecin cardiologue, Chef de clinique attaché à la faculté de médecine BP : 6392 Libreville / Gabon Tel. : 07 41 41 81 / 03 03 06 13 |
INTRODUCTION
L'hypertension artérielle (HTA) est un problème de santé publique en Afrique. Ses complications sont lourdes et fréquentes en l’absence du traitement. Cette affection devient prédominante dans l’exercice quotidien en milieu hospitalier. En effet, dans les services de cardiologie en milieu tropical, elle représente aujourd’hui le principal motif de consultation. Nous rapportons ici l’expérience de Libreville, capital du Gabon.
MATERIEL ET METHODE
Il s’agit d’une étude rétrospective sur une période de 7 mois allant de décembre 2010 à juin 2011. Elle s’est déroulée dans l’unité de consultation externe du service de cardiologie du Centre Hospitalier de Libreville. Etait inclue tous les patients reçu en consultation externe quel que soit le motif. Le diagnostic de l’hypertension artérielle était retenu chez tout patients ayant présenté une pression artérielle systolique (PAS) supérieur à 140 mmHg et/ou une pression artérielle diastolique (PAD) supérieur à 90 mmHg après un repos de 5 à 10 minutes. Aucune discrimination d’âge, de sexe, de race, ni de provenance n’a été observée. Mille deux cent dix patients ont participés à l’étude. Une fiche d’enregistrement des patients a été établie (tableau 1). Nous utilisons le Rapport de côte (RC) comme test statistique et la p-value pour vérifier l’association entre l’HTA et les différents facteurs de Risques.
La pression artérielle a été prélevée par l’appareil de marque Omron itelli sense i-q142. Les mesures ont été effectuées aux deux bras après dix à quinze minutes de repos tableau 1.
Nous avons déterminés la prévalence de l’hypertension artérielle et d’autres facteurs de risque cardio-vasculaire associés. Les données ont été exploitées avec les logiciels Epi-Info 3.5.3 et Statview. Le seuil de significativité choisi a été de 0,05 .
RESULTATS
Notre étude a été constituée de 1210 individus dont 54,9% de femmes et 45,1% d’hommes. Le sex-ratio a été de 0,92. La moyenne d’âge a été de 42 ans (extrêmes 17 ans et 87 ans) pour toute la population d’étude.
La moyenne de pression artérielle (PA) de la population étudiée a été de 161,22 mmHg pour la systolique et de 103,45 mmHg diastolique.
La prévalence de l’hypertension artérielle a été de 22,64% (Tableau 2).
La fréquence de l’hypertension artérielle a été significativement plus élevée chez les hommes 51,8% contre 48,2% chez les femmes, p=0,01 (tableau 2).
Pour ces hypertendus, il n’y avait pas de différence significative entre les deux sexes concernant l’âge moyen, la moyenne de la PAS et de la PAD. (Tableau 3). L’âge moyen des hommes était de 50 ans. La moyenne de PAS était de 159,52 chez les hommes et de 162,81 chez les femmes. Celle de la PAD des hommes et des femmes était respectivement de 105,07 et 101,95 (tableau 3).
La forte prévalence a été observée dans la tranche d’âge supérieur à 70 ans 13/31 hypertendus (41,94%), suivi de celle de 50 à 60 ans, 88 cas soit 40,18% (Tableau 4).
Les autres facteurs associés de manière significative étaient : le Sexe, les hommes semblent plus affectés par l’HTA que les femmes, RC1,5 p=0,002 ; la consommation d’alcool, on rencontre plus d’HTA chez les consommateurs, RC=1,42 p=0,0 ; en fin les obèses (Index de Masse Corporelle (IMC) supérieur à 30 développent plus l’HTA que les sujets non obèses, RC=2,1 p=0,00 (Tableau 5) autres facteurs de risque associé à l’HTA.
DISCUSSION
Parler des limites méthodologique: une seule mesure, à un bras, HTA blouse blanche.
De notre étude ayant enregistrée 1210 cas pris en charge en consultation externe du service de cardiologie du Centre Hospitalier de Libreville. Au sein des capitales africaines où la population représentent quasiment la moitié de la population du Pays (48% cas de Libreville et ses environs). La densité des consultations reflètent cette réalité. L’âge moyen de nos patients se situe au tour de 42 ans (ET±13), ce qui laisse penser que les symptômes à visé cardio-vasculaire affectent cette tranche de population jeune et active. Les femmes semblent consulter plus que les hommes, d’où le sex-ratio de 0,92.
Les limites méthodologiques de notre étude reposerais sur la non identification de l’HTA par l’effet blouse blanche et la non répétition des mesures (au moins trois) afin de déterminer la moyenne de la pression artérielle.
Au terme de cette étude, il se dégage une prévalence de l’HTA de l’ordre de 22,64% au sein de l’unité de consultation externe du service de cardiologie du CHL. Elle se rapproche de celle retrouvée dans plusieurs pays, soit 29,7 à Abidjan en 2001 [3], 28,05% à Antanarivo en 2009 [1], 20,83% à Bamako en 1994 [4], 24,7% en Guadeloupe en 2008 [5] et 23% à Ouagadougou en 2003[6].
Malgré cette prédominance des consultants de sexe féminin, la fréquence de l’HTA est significativement plus élevé chez les hommes que chez les femmes (p=0,000), soit respectivement 51,8% et 48,2% selon notre étude. Cette proportionnalité se retrouve dans d’autres études mené en Afrique, notamment à Brazzaville en 2004 [2], 34% et 30,6%, à Antananarivo en 2009 [1] 34,5% et 24,1%.
L’âge moyen des sujets hypertendus de notre étude a été relativement plus jeune, soit 49 ans ± 11,7 ans pour les deux sexes. La moyenne d’âge est de 47 ans ± 11,2 pour le sexe masculin et de 50 ans ± 12 ans pour les femmes (p=0,08). Les hommes semblent être affectés plus tôt dans leur vie par l’HTA que les femmes. Les autres facteurs de risques cardio-vasculaires associés à l’HTA dans notre étude sont surtout l’obésité. En effet, 44,9% de nos hypertendus sont obèse (p=0,00). Ce constat est aussi retrouvé dans les études ; Cotonou en 2000[7]. Le sexe féminin semble plus exposé à développer l’obésité que les hommes, p=0,00.
CONCLUSION
L’HTA est de plus en plus prépondérante dans les pays en voie de développement. En effet, elle représente un motif fréquent de consultation en cardiologie ; sa prévalence de est évalué à 22,64% dans notre étude. La population jeune est la plus concernée. D’où le risque de répercutions économiques. C’est donc dans l’intérêt de développement de nos pays que nous exhortons au dépistage systématique de cette affection et à une prise en charge spécialisée.
Tableau 1
Fiche de recueil de données.
Tableau 2
Répartition des patients hypertendus
selon le sexe.
|
Sexe |
HTA Diagnostiquée |
Total |
RC |
p-value |
|
|
Oui |
Non |
||||
|
Homme |
142 (51,8) |
404 (43,2) |
546 (45,1) |
1,42 |
0,01 |
|
Femme |
132 (48,2) |
532 (56,8) |
664 (54,9) |
- |
- |
|
Total |
274 (100) |
936 (100) |
1210 (100) |
- |
- |
Tableau3
Age moyen, PAS moyennes et PAD moyenne des hypertendus selon le sexe.
|
Femme (n=132) |
Homme (n=142) |
|
|
Age moyen |
49,88 |
47,46 |
|
PAD moyenne |
105,07 |
101,95 |
|
PAS moyenne |
159,52 |
162,81 |
Tableau 4
Prévalence de l’HTA par tranche d’âge.
|
HTA |
Inférieur à 30 |
30 à 40 |
40 à 50 |
50 à 60 |
60 à 70 |
Supérieur à70 |
Total |
|
Nombre de patients hypertendus |
15 |
61 |
73 |
88 |
24 |
13 |
274 |
|
Nombre total de patients |
253 |
325 |
317 |
219 |
65 |
31 |
1210 |
|
Prévalence en % |
5,93 |
18,77 |
23,03 |
40,18 |
36,92 |
41,94 |
22,64 |
Tableau 5
Autres facteurs de risque associés à l’HTA.
|
Alcool |
HTA |
Total |
RC |
p-value |
|
|
Oui |
Non |
||||
|
Oui |
137 (50) |
371 (39,6) |
508 (42) |
1,52 |
0,002 |
|
Non |
137 (50) |
565 (60,4) |
702 (58) |
- |
- |
|
Total |
274 (100) |
936 (100) |
1210 (100) |
- |
- |
|
Sexe |
HTA |
Total |
RC |
p-value |
|
|
Oui |
Non |
||||
|
Homme |
142 (51,8) |
404 (43,2) |
546 (45,1) |
1,42 |
0,01 |
|
Femme |
132 (48,2) |
532 (56,8) |
664 (54,9) |
- |
- |
|
Total |
274 (100) |
936 (100) |
1210 (100) |
- |
- |
|
Obésité |
HTA |
Total |
RC |
p-value |
|
|
Oui |
Non |
||||
|
Oui |
123 (44,9) |
262 (28) |
385 (31,8) |
2,1 |
0,00 |
|
Non |
151 (55,1) |
674 (72) |
825 (68,2) |
- |
- |
|
Total |
274 (100) |
936 (100) |
1210 (100) |
- |
- |
Intérêt du Holter ECG dans l’évaluation des indicateurs de mauvais pronostic des cardiomyopathies dilatées.
Value of the Holter ECG in the evaluation of poor prognostic indicators in dilated cardiomyopathies.
B. HAMADOU 1,2, A. MENANGA ¹, E. MAKUETCHE SOH ², E. WAWO ¹, R. MBOULLEY KOTTO ²,
Y. MAPOURE NJANKOUO 3, P. NDOBO ¹, K. NGU BLACKETT ¹, S. KINGUE ¹, W. MUNA ¹.
RESUME
Introduction : La mortalité de la cardiomyopathie dilatée est liée à l’insuffisance cardiaque et à la mort subite par arythmies ventriculaires. Nous avons effectué des enregistrements électrocardiographiques de longue durée (Holter ECG) pour déterminer la prévalence et évaluer le pronostic des troubles du rythme détectés au Holter ECG de 24h chez un groupe de patients avec une cardiomyopathie dilatée.
Patients et méthode : Nous avons mené une étude transversale descriptive de Juin à décembre 2011 chez un groupe de patients vus en consultation ou hospitalisés pour cardiomyopathie dilatée dans le service de cardiologie de l’hôpital Laquintinie de Douala au Cameroun. Tous les patients ont bénéficié d’une radiographie du thorax de face, d’un électrocardiogramme de surface 12 dérivations, d’une échographie cardiaque et d’un Holter ECG de 24h.
Résultats : Nous avons inclus 40 participants dont la moyenne d’âge était de 51.42 ± 16.86 ans avec un sexe ratio (H/F) de 1.67. La radiographie thoracique retrouvait une cardiomégalie chez tous les patients. La fraction d’éjection ventriculaire gauche moyenne à l’échocardiographie était de 31.60% ± 8.24%. Nous avons retrouvé à l’Holter ECG, 82.5% d’extrasystoles ventriculaires (ESV), 35% d’extrasystoles supraventriculaires (ESSV) et 42,5% de salves d’ESSV.Dans notre étude, 75% des malades avaient un mauvais pronostic car à risque de mort subite (ESV classes IV et V de LOWN). L'étude de la variabilité sinusale retrouvait un SDNN moyen à 112±36ms chez 65% de nos patients.
Conclusion : Le Holter ECG nous a permis de mieux mettre en évidence les arythmies ventriculaires à risque de mort subite chez les patients qui souffrent de cardiomyopathie dilatée . Chez certains patients le pronostic est très réservé en l’absence de défibrillateur automatique implantable.
MOTS CLE
Cardiomyopathie dilatée-Holter ECG-Pronostic.
SUMMARY
Introduction: the mortality of dilated cardiomyopathy is due to cardiac failure and sudden death because of ventricular arrhythmia. We carried out Electrocardiography registration over a long period of time (Holter ECG) to determine the prevalence and evaluate the prognosis of rhythmic troubles detected on 24H Holter ECG in a group of patients with dilated cardiomyopathy.
Patients and methodology: we carried out a transverse descriptive study from June to December 2011 in a group of patients seen during consultation or hospitalise for dilated cardiomyopathy in the cardiac services in Douala Laquintinie hospital Cameroon. All the patients benefited from chest x-ray, a standard ECG, cardiac echography and 24H Holter ECG.
Results: we included 40 patients and the average age was 51.42 ± 16.86yrs with a sex ratio (M/F) 1.67. All our patients were seen with cardiomegaly on chest x-ray.Echocardiography noted an average ejection fraction of 31.60% ± 8.24%. In Holter ECG, premature ventricular beats (82.5%) were the most found. Other arrhythmias found were mainly supra-ventricular premature beats (SVPB) (35%), bursts of SVPB (42.5%). In our study, 75% patients had a poor prognosis because of the risk of sudden death (ventricular premature beats classes IV and V of LOWN classification) especially those with severely impaired systolic function. The mean heart rate variability was 112±36ms in 65% of our patients.
Conclusion
KEY WORDS
Dilated cardiomyopathy, the long term recording electrocardiogram, Prognosis.
|
1- Faculté de Médecine et des sciences biomédicales Université de Yaoundé 1 2-Service de Cardiologie Hôpital Laquintinie de Douala 3-Faculté de Médecine et des sciences pharmaceutiques de l’université de Douala |
Dr HAMADOU B. Service de Cardiologie Hôpital Laquintinie de Douala Faculté de Médecine et des sciences biomédicales Université de Yaoundé 1 BP: 12742 Douala Mail: Cette adresse e-mail est protégée contre les robots spammeurs. Vous devez activer le JavaScript pour la visualiser. ; Cette adresse e-mail est protégée contre les robots spammeurs. Vous devez activer le JavaScript pour la visualiser. TEL : 00(237) 96 41 68 42. |
INTRODUCTION
Deux formes étiologiques de la cardiomyopathie dilatée sont décrites : primitive et secondaire. La cardiomyopathie dilatée est de plus en plus fréquente avec une approche diagnostique actuellement améliorée par l’échocardiogramme et constitue en Afrique un fléau cardiologique par sa morbidité et sa mortalité [1]. Elle est caractérisée par la grande fréquence des arythmies ventriculaires dominées par les extrasystoles ventriculaires [2]. Plusieurs études faites sur les cardiomyopathies dilatées ont fait ressortir une forte prévalence des troubles du rythme [2,3]. Ces derniers sont responsables de 38 % de décès dans la cardiomyopathie dilatée [4].La mortalité de la cardiomyopathie dilatée est liée à l’insuffisance cardiaque et à la mort subite par trouble du rythme [2]. L’objectif de notre travail était de déterminer la prévalence des troubles du rythme au cours de l’enregistrement électrocardiographique de 24 heures (HOLTER ECG) et de préciser les indicateurs électriques de mauvais pronostic au cours de l’évolution des cardiomyopathies dilatées.
METHODE
Patients et méthode
Nous avons mené une étude transversale et descriptive de juin à Décembre 2011 l’hôpital Laquintinie de Douala. Un Holter ECG de 24h était réalisé chez tout patient qui présentait une cardiomyopathie dilatée primitive ou secondaire objectivée à l’échocardiographie Doppler (critère diagnostique :un diamètre du ventricule gauche >27 mm/m² et/ou une fraction d’éjection <0,45 ou un pourcentage de raccourcissement < 0,30.), hospitalisé ou suivi en externe [5]. Nous avons effectué chez chaque patient un interrogatoire et un examen physique complet. A l’interrogatoire nous recherchions les antécédents personnels et familiaux de maladies cardiovasculaires, les facteurs de risque cardiovasculaire et les signes fonctionnels d’insuffisance cardiaque (La dyspnée était évaluée selon la classification de la New York Heart Association [NYHA]).
A l’examen physique nous avions recueilli le poids, la taille (pour calculer l’indice de masse corporelle), la pression artérielle. Nous avons aussi recherché les signes d’insuffisance cardiaque et ceux d’une cardiopathie causale. Le patient était considéré comme obèse lorsque l’Index de Masse Corporelle (IMC) était ≥ 30 kg /m2. L’hypertension artérielle était définie selon les critères de la Joint National Committee 7 [6]. Nous avons noté le traitement reçu par les participants. Les différents éléments paracliniques suivants faisaient partie du dossier médical : le taux d’hémoglobine, la natrémie, la kaliémie, la créatinine. Nous avons considéré qu’un patient avait : une anémie lorsque le taux d’hémoglobine était ≤ 12g/dl chez l’homme et ≤11g/dl chez la femme, une hyponatrémie lorsque la natrémie était ≤ 135mmol/l, une hypokaliémie lorsque la kaliémie était ≤ 3,5 mmol/l, une insuffisance rénale lorsque la clearance de la créatinine selon Cockcroft et Gault était ≤ 60ml/min [7].Nous avons recherché la présence d’une cardiomégalie (Index cardiothoracique > 0,5) à la radiographie du thorax. A l’électrocardiogramme (ECG) standard 12 dérivations avec un DII long, nous avons recherché les troubles du rythme auriculaire et les troubles de l’excitabilité. Chaque patient disposait dans son dossier médical d’une échocardiographie Doppler effectuée avec un appareil de marque HP 7500. Nous avons considéré la dysfonction ventriculaire gauche modérée pour une fraction d’éjection comprise entre 45-54% ; moyenne pour une fraction d’éjection comprise entre 30-44% et sévère une fraction d’éjection inférieure à 30% [5]. Nous avons noté différentes anomalies observées à l’échocardiographie telles que : la dilatation des cavités cardiaques (Ventricule gauche : Diamètre diastolique ≥59mm chez l’homme et ≥ 53mm chez la femme ; Ventricule droit : Diamètre médioventriculaire télédiastolique ≥ 33mm selon les recommandations de l’American Society of Echocardiography) ; l’hypertension artérielle pulmonaire [8](pour toute valeur de la pression pulmonaire au repos appréciée à partir du flux d’insuffisance tricuspide au-dessus de la normale selon l’âge) et l’existence d’un épanchement péricardique.
L’enregistrement électrocardiographique continu de 24h était réalisé grâce à un enregistreur ELA Médical et les données étaient analysées grâce au logiciel EasyScope MultiDay Version 3.10.
L’ensemble des résultats de notre étude a été analysé grâce au logiciel d’analyse statistique SPSS version 11.5. Le test de Chi-carrée a été utilisé pour la comparaison de deux variables et la corrélation entre ces variables était considéré comme statistiquement significative lorsque p<0,05. Nous avons recherché une corrélation entre la sévérité des troubles du rythme et la fraction d’éjection ventriculaire gauche.
Paramètres étudiés
La lecture de l’enregistrement avait permis d’apprécier le rythme de base, la fréquence cardiaque, le profil nycthéméral, les anomalies du rythme, de conduction et la variabilité sinusale. Nous avions utilisé la classification de LOWN (Tableau 1) des arythmies et les critères de normalité de l’enregistrement Holter ECG de 24h [9].
Critères de normalité de l’enregistrement de Holter ECG [9]:
Fréquence minimale nocturne: > 40/min.
Pauses sinusales nocturnes : <2,5 s avant 30 ans <2s après 30 ans
Extrasystoles supraventriculaires : <10/24h de 20 à 40 ans <100/24h de 40 à 60 ans
Salves d’extrasystoles supraventriculaires :
- absente avant 50 ans - <2 salves de 10 complexes après 50 ans.
Extrasystoles ventriculaires : <100/24h avant 50 ans, une seule morphologie, pas de doublets
<200/24h après 50 ans, pas plus de deux doublets, pas de salves.
RESULTATS
Données épidémiologiques
Nous avons recruté 25 hommes (62.5%) et 15 (37.5%) femmes soit un sexe ratio de 1.67. La moyenne d’âge des malades était de 51.42 ± 16.86 ans avec des extrêmes de 5 et 82 ans. Dans les antécédents nous retrouvions principalement l’hypertension artérielle (27.5%) et l’obésité (22.5%).
Nous avons enregistré 3 patients atteints par le virus de l’immunodéficience humaine sous antirétroviraux ; 2 cas d’hypothyroïdie.
Données cliniques
Nous avons retrouvé 90% de patients présentant un plateau d’insuffisance cardiaque. Parmi eux 57,5 avaient une dyspnée au stade IV de la NYHA. L’hypertension artérielle était retrouvée chez 9 malades. Un souffle cardiaque était présent dans 42.5% des cas et les bruits du cœur étaient assourdis chez 35% des malades. Une arythmie était notée chez 13 malades (32.5%) dont 20% associées à la tachycardie.
Données thérapeutiques
Les diurétiques étaient prescrits chez tous les patients. Parmi les autres médicaments on retrouvait respectivement: Les antiagrégants plaquettaires (82.5% des patients), les inhibiteurs de l’enzyme de conversion (65% des patients), les Bêtabloquant (50% des patients), la Digoxine (10% des patients) et les anti-vitamines K (10% des patients).
Résultats des examens paracliniques. Biologie
Une anémie était retrouvée chez 15 (37.50%) malades. L’hyponatrémie et l’hypokaliémie était chacune retrouvée chez 7 (17.5%) malades. L’insuffisance rénale était retrouvée chez 4 (10%) malades.
La radiographie du thorax
La cardiomégalie était retrouvée chez tous les malades. L’index cardiothoracique moyen était de 0.66 ± 0.06 avec des extrêmes de 0.51 et 0.77.Il était supérieur à 0.60 dans 82.5% de cas.
L’électrocardiographie standard
15 malades (37.5%) avaient une tachycardie sinusale régulière, 3 (7.5%) une fibrillation auriculaire, 1 (2.5%) un flutter auriculaire et 1 (2.5%) une tachycardie supraventriculaire. Les extrasystoles ventriculaires étaient les troubles d’excitabilité les plus retrouvés à 22.5% de cas.
Echocardiographie-Döppler
Le ventricule gauche était dilaté chez tous les malades. Les quatre cavités cardiaques étaient dilatées chez 14 malades (35%).
La fraction d’éjection systolique moyenne était 31.60% ± 8.24 (extrêmes : 19-48%). La fonction systolique du ventricule gauche était altérée chez tous les malades.
Un épanchement péricardique était présent chez 13 malades (32.5%). La pression artérielle pulmonaire systolique moyenne était de 52.43 ± 10.68 avec des extrêmes de 28 et 75mmHg. L’hypertension artérielle pulmonaire (HTAP) était présente dans 92.5% de cas
Résultats de l’enregistrement du HOLTER ECG
L’enregistrement électrocardiographique de longue durée inscrivait des anomalies chez tous les patients.
Le rythme cardiaque était sinusal chez 37 malades (92.5%) et non sinusal chez 3 malades (7.5%). Les extrasystoles ventriculaires (82.5%) étaient les plus rencontrées. Les extrasystoles supraventriculaires (52.5%), les périodes longues qui correspondent à un ralentissement de 75% par rapport à la fréquence moyenne (50%) et les salves d’extrasystoles supraventriculaires (42.5%) étaient fréquemment retrouvées. Les autres troubles de rythme détectés étaient : les accès de tachycardies ventriculaires soutenus (30%), les tachycardies sinusales (20%), les tachycardies supraventriculaires (17.5%), les fibrillations auriculaires (10%), les flutters auriculaires (7.5%). Trois patients avaient présenté une pause d’au moins 2,5 secondes et trois autres avaient un bloc auriculo-ventriculaire du 1er degré. Les troubles du rythme ventriculaire étaient dominés par les extrasystoles ventriculaires de classe IV (52,5%). Le tableau 2 indique la répartition des extrasystoles ventriculaires en fonction de la classification de LOWN, 70.6% des malades qui avaient une altération modérée de la fonction systolique et 85% de ceux qui avaient une altération sévère ont des extrasystoles ventriculaires situées dans les classes IV et V de LOWN. Le tableau 3 indique la répartition des extrasystoles ventriculaires selon la fonction systolique ventriculaire gauche.
La variabilité sinusale moyenne était de 112±36ms chez 65% de nos patients (35% des patients ont étés exclus de l’analyse pour cause de FA et salve d’ESV).
DISCUSSION
Etant une étude transversale et descriptive, notre étude comporte quelques biais liés à ce type d’étude. Notre étude nous a permis de déterminer la prévalence des troubles du rythme au cours de l’enregistrement électrocardiographique de 24 heures (HOLTER ECG) et d’en préciser les indicateurs électriques de mauvais pronostic en rapport avec la classification de LOWN chez nos patients connus porteur d’une cardiomyopathie dilatée. Certains Holter ECG étaient très parasités ou avaient des durées d’enregistrement inferieur à 24heures rendant inexploitable les dossiers correspondants. Malgré ces limites, cette étude a des forces.
La cardiomyopathie dilatée prédomine chez les sujets âgés et de sexe masculin. Nos données sont similaires à celles retrouvées dans la littérature [8, 9, 10]. L’hypertension artérielle et l’obésité sont les facteurs de risque cardiovasculaire les plus retrouvés chez nos patients. La cardiomégalie était retrouvée chez tous les malades. L’index cardiothoracique moyen était 0.66 et dépassait 0.60 dans 82.5% de cas. BOUAKEZ et al notaient une cardiomégalie dans 90% de cas et un index cardiothoracique dépassant 0.60 dans 60% de cas [13].
Les principales anomalies électrocardiographiques rencontrées chez nos malades étaient la tachycardie sinusale régulière dans 37.5% des cas, la fibrillation auriculaire dans 7.5% des cas et les extrasystoles ventriculaires dans 22.5%. BOUAKEZ et al avaient une plus grande prévalence de troubles du rythme avec la présence de la fibrillation atriale dans 29% des cas et les extrasystoles ventriculaires dans 32% des cas [13]. HAGEGE et al retrouvaitles extrasystoles ventriculaires dans 30% des cas [14].
La fraction d’éjection moyenne du ventricule gauche était très inférieure à la normale (31.60%). L’HTAP était présente chez 92.5% des malades. BOUAKEZ et al [13] notaient une fraction d’éjection inférieure à la normale chez 30% des patients et une HTAP dans 71% et sévère chez 55% de malades. L’élévation des pressions artérielles pulmonaires a été décrite dans la littérature comme un facteur de survenu des troubles du rythme [15].
Les anomalies électriques les plus fréquentes au HOLTER ECG chez des patients porteurs de cardiomyopathies dilatées sont les extrasystoles ventriculaires selon plusieurs auteurs [12, 13, 14].
Dans notre série 82.5%de patients présentaient des extrasystoles ventriculaires contre 56% chez HAISSAGUERRE et al [15]. Les salves de tachycardie ventriculaire soutenues représentaient 30% contre 63% des cas chez DEMARIA et al dans une plus grande série de 218 patients porteurs de cardiomyopathie dilatée idiopathique [16]. Le polymorphisme ; la présence des doublets et/ou des salves ainsi que la précocité (Phénomène R/T avec risque de fibrillation ventriculaire) constituent les critères de mauvais pronostic des extrasystoles ventriculaires [10,11].Quatorze (35%) de nos patients ont présenté un trouble du rythme auriculaire. HAGEGE et al avaient une prévalence de ces anomalies dans 25% de cas [14].Par ailleurs on retrouve dans notre série 52.5% d’extrasystoles supraventriculaires. VANGELI dansune série de 25 patients, a trouvé 100% d’extrasystoles supraventriculaires [17].D’après la classification de LOWN des extrasystoles ventriculaires, 75% de nos patients étaient situés dans les classes sévères IV et V dont 52.5% dans la classe IV. Par contre MEINERTZ et al en Allemagne et HUANG et al aux Etats Unis retrouvaient respectivement ; 87% et 93% de malades dans les classes III, IV et V [10, 18].La répartition des arythmies ventriculaires selon la classification de LOWN note la prédominance des classe IV et V dans les différentes séries.
Lorsque l’on compare l’altération de la fraction d’éjection avec la classification de LOWN, on retrouve que la plupart des malades avec altération sévère (42.5%) ou modérée (30%) était située dans les classes IV et V. Plus les malades avaient une fraction d’éjection altérée, plus ils étaient situées dans les classes sévères. Cette répartition des malades en fonction de l’altération de la fonction systolique et de la présence d’une anomalie électrique sévère dans les différentes classes de LOWN n’était pas statistiquement significative (P=0.800).
CHETTY et al dans une petite série de 20 patients ne retrouvait pas de corrélation entre la survenue d’arythmie ventriculaires malignes et les données échocardiographiques [19]. Dans la littérature, il est plus fréquemment retrouvé une corrélation entre la fraction d’éjection basse et la survenue de troubles du rythme [11,14]. L’étude de la variabilité sinusale (SDNN) chez nos patients éligibles (65%) retrouvait un SDNN moyen dans les limites normales tout comme DIAO et al [20] dans une série de 19 patientes atteintes de cardiomyopathie idiopathique du péri partum à Dakar. Dans l’étude DEFINITE [21] chez 343 patients atteints de cardiomyopathie dilatée idiopathique non ischémique les patients avec un SDNN normal avaient un excellent pronostic tandis que ceux avec une diminution du SDNN et ceux exclus de l’étude (FA et Salves d’ESV au Holter ECG comme c’est le cas de 35% de nos patients) avaient une mortalité élevée après 3 ans de suivi. GRIMM et al [22]dans leur étudeconcluent que l’altération de la fraction d’éjection et l’absence de traitement Bêta bloquant sont des prédicteurs du risque arythmique plus importants que la variabilité sinusale.
Notre étude confirme que l’Holter ECG est le meilleur instrument dans la détection des troubles du rythme ventriculaire chez les patients porteurs de cardiomyopathie dilatée. Chez ces patients l’altération de la fonction systolique et/ou la présence d’un trouble du rythme sévère sont des facteurs de mauvais pronostic indépendant l’un de l’autre.
CONCLUSION
L’altération sévère de la fonction systolique associée à la survenue d’arythmies malignes rend le pronostic de la cardiomyopathie dilatée péjoratif, surtout en Afrique où elle est souvent découverte au stade tardif. Le Holter ECG nous a permis de mettre en évidence les troubles du rythme ventriculaires à risque de mort subite. Chez certains patients qui présentent des salves de tachycardie ventriculaire soutenue, le pronostic est très réservé en l’absence de défibrillateur automatique implantable.
Tableau 1
La classification de LOWN des extrasystoles ventriculaires [9]
|
Classes |
Nombres et aspects des extrasystoles |
|
I |
Extrasystoles ventriculaires monomorphes <1/mn ou <30/h |
|
II |
Extrasystoles ventriculaires monomorphes >1/mn ou >30/h |
|
III |
Extrasystoles ventriculaires polymorphes |
|
IV a |
Extrasystoles ventriculaires pairées (doublets) |
|
IV b |
salves d’au moins 3 extrasystoles ventriculaires |
|
V |
Extrasystoles ventriculaires précoces avec phénomène R/T |
Tableau 2
Répartition des ESV selon la classification de LOWN
|
Classification de lown |
Effectifs |
Pourcentage |
|
Classe I |
9 |
22.5 |
|
Classe II |
0 |
0.0 |
|
Classe III |
1 |
2.5 |
|
Classe IV a |
7 |
17.5 |
|
Classe IV b |
14 |
35.0 |
|
Classe V |
9 |
22.5 |
|
Total |
40 |
100 |
Tableau 3
Fréquence des extrasystoles ventriculaires d’après la classification de LOWN selon l’altération de la fonction systolique du ventricule gauche
|
|
Sévère |
Modérée |
Légère |
Total |
|
Classe I |
7.5% |
10 % |
5% |
22.5% |
|
Classe II |
0% |
0% |
0% |
0% |
|
Classe III |
0% |
2.5% |
0% |
2.5% |
|
Classe IV a |
15% |
2.5% |
0% |
17.5% |
|
Classe IV b |
15% |
17.5% |
2.5% |
35% |
|
Classe V |
12.5% |
10% |
0% |
22.5% |
|
Total |
50% |
42.5% |
7.5% |
100% |
Chi2 = 9.15, ddl= 8, P = 0.329

