Ischémie médullaire révélant une dissection aortique à l’Institut de Cardiologie d’Abidjan.
Spinal cord ischaemia revealing aortic dissection at the Abidjan Heart Institute.
C GBASSI*¹, A DJOMA ², E EHOUMAN ³, S KOUAME ¹, F KOFFI ², G MZEBAZE ¹, M DANIOGO ¹, JJ N’DJESSAN ¹, L AKATCHI ¹, E SOYA ¹, H YAO ³, C KONIN ¹.
Cas Clinique . Clinical Case
RESUME
La dissection aortique représente une urgence cardiovasculaire avec des complications sévères. Lorsqu'elle affecte l'aorte descendante, elle peut compromettre les artères alimentant la moelle épinière, entraînant une ischémie médullaire. Nous présentons le cas d'un patient de 35 ans qui a été admis à l'Institut de Cardiologie d’Abidjan (ICA) dans un contexte de douleur thoracique et de paraplégie. Les examens d'imagerie ont montré une dissection aortique de type B selon la classification de Stanford, ainsi qu'une ischémie de la moelle épinière. Cependant, le patient est décédé avant de pouvoir bénéficier d'un traitement endovasculaire. Un diagnostic précoce et une intervention thérapeutique rapide sont essentiels pour améliorer le pronostic fonctionnel et vital chez les patients souffrant d'une ischémie médullaire due à une dissection aortique.
MOTS CLES
Dissection type B- aorte- ischémie- moelle épinière- paraplégie- ICA.
SUMMARY
Aortic dissection is a cardiovascular emergency associated with severe complications. When it involves the descending aorta, it can compromise the arteries supplying the spinal cord, potentially leading to spinal cord ischemia. We report the case of a 35-year-old patient admitted to the Abidjan Cardiology Institute (AHI) with chest pain and paraplegia. Imaging studies revealed a type B aortic dissection, according to the Stanford classification, along with spinal cord ischemia. Unfortunately, the patient died before receiving endovascular treatment. Early diagnosis and prompt therapeutic intervention are crucial for improving both survival and functional outcomes in patients with spinal cord ischemia secondary to aortic dissection.
KEY WORDS
Type B dissection- aorta- ischemia- spinal cord- paraplegia- AHI.
- Service des soins intensifs médicaux de l’Institut de Cardiologie d’Abidjan
- Service de Médecine de l’Institut de Cardiologie d’Abidjan
- Service Urgences et cardiologie interventionnelle de l’Institut de Cardiologie d’Abidjan
Adresse pour correspondance
Gbassi Badjo Marie-Ange Christelle épouse Dabié (Gbassi C)
Assistant Chef de clinique, Cardiologue, Institut de Cardiologie d’Abidjan
Email : Cette adresse e-mail est protégée contre les robots spammeurs. Vous devez activer le JavaScript pour la visualiser.
Tel : 00225 0709396348
Institut de Cardiologie d’Abidjan (Côte d’Ivoire)
BP V206 Abidjan 01
INTRODUCTION
La dissection aortique est une extrême urgence dont l'évolution est grevée d'un taux de mortalité élevé [1]. Ses complications sont graves car elles engagent le pronostic vital à court terme. Parmi les présentations cliniques des dissections aortiques type B de Stanford, la paraplégie due à une ischémie médullaire est rare. Cette ischémie médullaire peut s’expliquer dans certains cas, par une interruption partielle ou totale de la vascularisation artérielle de la moelle épinière. En effet, le clivage longitudinal de la paroi de l’aorte thoracique descendante peut exclure de la lumière circulante, certaines artères médullaires. Ceci est à l’origine d’une mal perfusion dans certains territoires médullaires. Dans d’autres cas, Il peut s’agir de l’obstruction d’une artère médullaire par un thrombus [2].
OBSERVATION
Nous rapportons le cas d’un patient de 35 ans, sans facteur de risque cardiovasculaire, qui a été référé aux urgences de l'Institut de cardiologie d'Abidjan (ICA) pour une dissection aortique type B de Stanford confirmée par un angioscanner thoraco abdominal. L’anamnèse a révélé un début des symptômes, remontant à deux semaines avant l’admission et marqué par une douleur thoracique d'installation brutale, transfixiante, irradiant aux lombes. Une sensation de faiblesse des membres inférieurs est apparue 2 jours plus tard, associée à une rétention d'urine. Une dizaine de jours après le début des symptômes, le patient a consulté d’abord dans un centre de santé où il est réalisé une IRM dorso-lombaire. Cette imagerie a mis en évidence, en séquence T2, un hypersignal focal au niveau de la moelle épinière avec un niveau de T5 à L1 traduisant une ischémie médullaire. De plus, l’IRM a retrouvé une dilatation de l’aorte thoracique descendante avec une image suspecte de dissection aortique. Un angioscanner a été alors réalisé et a confirmé le diagnostic de dissection aortique type B de Stanford. A l’admission aux urgences de l’ICA, deux semaines après le début des symptômes, l'examen clinique a révélé une morphologie longiligne avec un rétrognathisme, une hyperlaxité articulaire et des pieds plats. Ces signes ont fait suspecter un trouble du tissu conjonctif, éventuellement un syndrome de Marfan, alors que le patient ne présentait aucun facteur de risque cardiovasculaire connu. On notait également une hypertension artérielle grade 1, une paraplégie totale flasque avec une force musculaire cotée à 0 sur 5 aux 2 membres inférieurs ainsi qu’une hypoesthésie cutanée et une atonie du sphincter anal au toucher rectal. Un échodoppler cardiaque réalisé a retrouvé une aorte initiale de taille normale avec un diamètre de l’aorte au niveau du sinus à 34mm, à la jonction sino-tubulaire à 32 mm, une absence de fuite valvulaire et des cavités cardiaques de taille normale. A l’echodoppler, l’aorte abdominale ne présentait pas de dilatation anévrismale avec un diamètre antéro postérieur à 24 mm dans sa portion sous rénale. On visualisait une image de flap intimal. Au vu du long délai de 12 jours entre l’installation de la paraplégie et l’admission aux urgences et devant l’examen neurologique, il a été conclu à un état de myélomalacie. Devant ce tableau de dissection aortique type B de Stanford compliqué d’ischémie médullaire, un traitement endovasculaire a été indiqué. Dans l'attente de la prise en charge interventionnelle, le patient a reçu un traitement médical à base d'antalgiques et d'antihypertenseurs. Cependant, avant la réalisation du traitement endovasculaire, son état clinique s’est détérioré avec l’installation d’un état de choc, environ vingt-quatre heures après son admission. Le patient est décédé dans un tableau de choc hémorragique.
DISCUSSION
La dissection aortique aiguë est une urgence cardio-vasculaire dont le principal symptôme révélateur est la douleur. Cette douleur thoracique ou abdominale est présente dans 90 % des cas de dissection de l’aorte [3]. Cependant, d'autres modes de révélation comme la paraplégie surviennent plus rarement, dans 2 à 8 % des cas. Ainsi, Aktas avait rapporté deux cas de dissection aortique révélées par une paraplégie d'apparition soudaine [3]. Cette symptomatologie neurologique s'expliquerait par l'hypoperfusion médullaire liée à l'exclusion de certaines artères vascularisant la moelle épinière, du fait du faux chenal de la dissection aortique ou d’une thrombose de ces artères. Ainsi dans la littérature, on relève plusieurs cas d’ischémie médullaire dus à la lésion de ces artères notamment des atteintes iatrogènes décrites au cours de certains traitements endovasculaires [4]. Dans le présent cas clinique, le mécanisme incriminé serait l’exclusion des artères radiculaires par le faux chenal de la dissection aortique. La présentation clinique, surtout neurologique, peu commune, serait responsable du retard de diagnostic de certaines dissections aortiques, comme en ont témoigné Karacostas et Joo [5,6]. Le retard diagnostic serait plus important en l’absence de douleur thoracique et occasionnerait une augmentation de la mortalité. Cependant, La paraplégie indolore était rarement décrite dans la littérature [5]. Dans le présent cas clinique, l'étiologie évoquée était une anomalie du tissu conjonctif notamment un syndrome de Marfan, sur la base des arguments tels que l'âge, le morphotype du patient et l’hyperlaxité articulaire. Dans la littérature, les dissections aortiques survenaient chez des patients ayant des facteurs de risque cardio-vasculaire majoritairement [7,8]. Mais chez les sujets jeunes sans facteurs de risque cardio-vasculaire, elles étaient surtout attribuées aux anomalies du tissu conjonctif ainsi qu’aux maladies inflammatoires [3]. L’échodoppler, du fait de son caractère non invasif, reproductible et facilement accessible, constituait une aide au diagnostic. En effet, il permettait la visualisation de la portion initiale de l’aorte thoracique ainsi que l’aorte abdominale. Cependant, l’angioscanner et l’angioIRM étaient les examens de certitude, indispensables au diagnostic de la dissection aortique, à la topographie des lésions ainsi qu’au choix de la stratégie thérapeutique [1,5]. Le traitement endovasculaire réalisé dans un court délai après l'installation de la paraplégie améliorerait le pronostic fonctionnel des membres comme l’ont décrit certains auteurs [10-12]. Cela avait pour conséquence une amélioration de la motricité des membres inférieurs dans les 72 heures post-opératoire [3]. Cependant, dans la littérature, la mortalité au cours des dissections aortiques était élevée. Elle était estimée à environ 1 à 2% par heure dès l’installation des symptômes [1,9].
CONCLUSION
Ce cas met en valeur l'importance de reconnaître l'ischémie médullaire comme une manifestation potentielle de la dissection aortique. Un diagnostic et un traitement rapides sont essentiels pour prévenir des dommages neurologiques irréversibles et améliorer le pronostic fonctionnel et vital des patients.

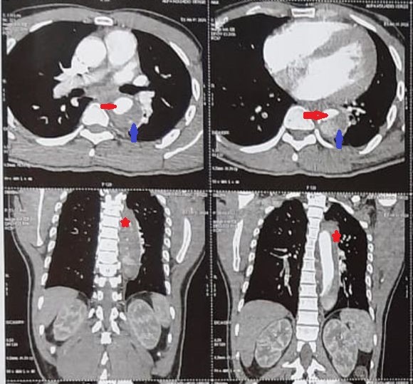
Figure 1: Angioscanner Thoracique en coupe axiale montrant l’aorte thoracique descendante disséquée avec le vrai chenal( flèche rouge) et le faux chenal non circulant(flèche bleu). Coupes frontales montrant l’aorte thoracique descendante disséquée (étoiles rouges).

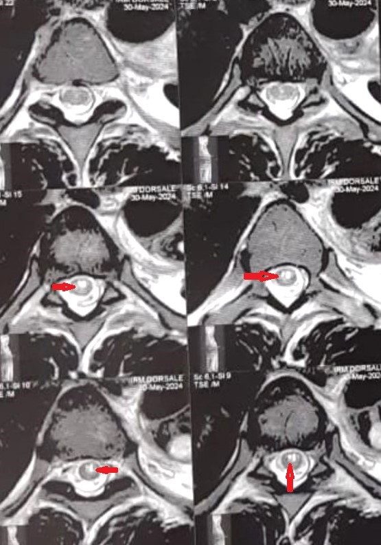
Figure 2: IRM Dorsale Coupes en séquence T2 montrant un hyper signal focal au niveau de la moelle épinière traduisant l’ischémie médullaire.
|
REFERENCES |
|
1. Elshony H, Idris A, Ahmed A, Almaghrabi M, Ahmed W, Fallatah S. Spinal cord ischemia secondary to aortic dissection: case report with literature review for different clinical presentations, risk factors, radiological findings, therapeutic modalities, and outcome. Case Rep Neurol. 2021;13(3):634–55. 2. Murphy MC, Castner CF, Kouchoukos NT. Acute aortic syndromes: diagnosis and treatment. Mo Med. 2017 Nov-Dec;114(6):458–63. PMID: 30228665; PMCID: PMC6139964. 3. Aktas C, Cinar O, Ay D, Gurses B, Hasmanoglu H. Acute aortic dissection with painless paraplegia: report of 2 cases. Am J Emerg Med. 2008;26(5):631.e3–5. 4. Seike Y, Nishii T, Yoshida K, Yokawa K, Masada K, Inoue Y, et al. Covering the intercostal artery branching of the Adamkiewicz artery during endovascular aortic repair increases the risk of spinal cord ischemia. JTCVS Open. 2023 Dec 1;17:14–22. doi: 10.1016/ j.xjon.2023.11.014. PMID: 38420547; PMCID: PMC10897655. 5. Karacostas D, Anthomelides G, Ioannides P, Psaroulis K, Psaroulis D. Acute paraplegia in painless aortic dissection. Rich imaging with poor outcome. Spinal Cord. 2010;48(1):87–9. 6. Joo JB, Cummings AJ. Acute thoracoabdominal aortic dissection presenting as painless, transient paralysis of the lower extremities: a case report. J Emerg Med. 2000;19(4):333–7. 7. Silva GS, Valiente RA. Spinal cord infarct as the primary presentation of aortic dissection. Spine J. 2014;14(12):2787–8. 8. Kim H, Heo W, Song SW, Yoo KJ. Case report: left monoplegia in acute type B aortic dissection. AME Case Rep. 2020;4:16. Published 2020 Jul 30. doi: 10.21037/ acr.2020.03.05. 9. Huynh N, Thordsen S, Thomas T, et al. Clinical and pathologic findings of aortic dissection at autopsy: review of 336 cases over nearly 6 decades. Am Heart J. 2019; 209:108–15. 10. Lou X, Duwayri YM, Jordan WD Jr, Chen EP, Veeraswamy RK, Leshnower BG. The safety and efficacy of extended TEVAR in acute type B aortic dissection. Ann Thorac Surg. 2020 Sep;110(3):799–806. doi: 10.1016/j.athoracsur.2019.12.036.Epub 2020 Mar 5. PMID: 32006479; PMCID: PMC7970341. 11. Nissen AP, Huckaby LV, Duwayri YM, Jordan WD Jr, Farrington WJ, Keeling WB, Leshnower BG. Extended thoracic endovascular aortic repair is optimal therapy in acute complicated type B dissection. J Vasc Surg. 2024Oct;80(4):1055–63. doi: 10.1016/j.jvs.2024.05.009. Epub 2024 May 14. PMID: 38750944. 12. Catasta A, Freyrie A, Bramucci A, Bianchini Massoni C, Perini P. Acute type B aortic dissection complicated with spinal cord ischemia and paraplegia treated with endovascular scissor technique. Vasc Endovascular Surg. 2024Feb;58(2):223–9. doi: 10.1177/15385744231198715. Epub 2023 Aug 28. PMID:37641383
|

